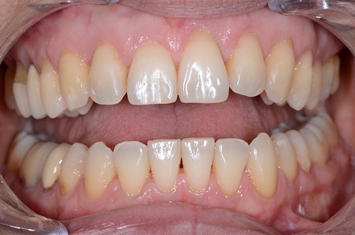
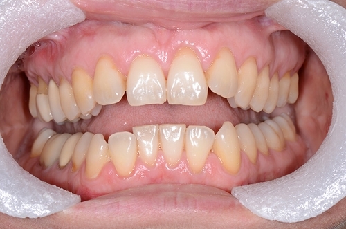
Imagine a straight, beautiful smile without the inconvenience of traditional metal braces. Invisalign uses a series of virtually invisible aligners to gradually and discreetly align teeth. Our comprehensive, personalized treatment can correct any number of issues including crowding, gaps between teeth, over and underbites, as well as open- and cross bites. With the comfort and convenience of Invisalign, you can achieve an incredible smile without disrupting your lifestyle.
Invisalign treatment usually lasts 6-12 months depending on the amount of movement needed to straighten your teeth. Custom molded aligners are made from a digital scan of your teeth. These aligners are worn 20-22 hours per day which means you can remove them to comfortably eat, brush, and floss. Aligners are typically switched every two weeks, which allows for gradual movement along a pre-determined course. When treatment is complete, you will be able to enjoy the confidence of a beautiful, straight smile.
.png)














